Мужчине удалили из сердца пулю, с которой он прожил два месяца
%gallery%
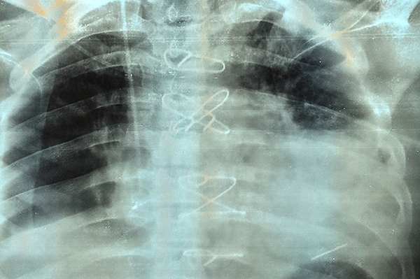
32-летний индиец Бхарат Шарма из города Алигарх, что в штате Уттар-Прадеш, Северная Индия, два месяца прожил с пулей в сердце. 22 июля мужчина стал случайным свидетелем ограбления банка, за что и пострадал. Один из грабителей открыл огонь, в результате чего в Бхарата попало две пули. Одна из них угодила в левый бок индийца и не задела жизненно важных органов, другая же попала прямо в сердце.
Читай также: Как выглядит идеальный мужчина глазами женщин
Из тела чудом выжившего мужчины одну пулю извлекли только через неделю после нападения, а другую, опасаясь за его жизнь, удалять отказались.
Два месяца Бхарат обращался к разным специалистам в надежде, что ему кто-то поможет, при этом рискуя умереть в любую секунду, и удача улыбнулась ему.
Провести сложную операцию, при этом не давая пациенту никаких гарантий, согласились врачи клиники Сал, что в индийском городе Ахмадабад, штат Гуджарат.
Читай также: После потребления сашими в теле китайца завелись черви
Доктор Анил Джейн, кардиохирург, который руководил операцией, сказал, что это был очень редкий случай, и удивительно, что пациент жил с пулей в сердце в течение двух месяцев: "Пуля находилась в сердечной мышце у верхушки левого желудочка, одной из двух камер сердца. Это уникальный случай, который запросто мог стать фатальным. То, что он прожил два месяца с пулей в таком месте - уникальный случай, это очень счастливый человек"
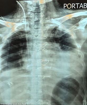
Во время трехчасовой операции команде из пяти врачей пришлось остановить сердце пациента и поддерживать его с помощью аппарата искусственного кровообращения. Только так они могли извлечь пулю. Оперативное вмешательство прошло успешно и сейчас Бхарат Шарма восстанавливается в отделении интенсивной терапии больницы. Пулю, которая в любой момент могла его убить, он хочет сохранить в качестве напоминания о том, как близко он подошел к смерти.
Смотри, как летит пуля в замедленной съемке:
[видео более недоступно]









